דלג לתוכן
ראשי
שירותי המרכז
הצוות
שירות לווטרינרים
שאלות נפוצות
מאמרים
צור קשר ומדיניות פרטיות
Русский
ראשי
שירותי המרכז
הצוות
שירות לווטרינרים
שאלות נפוצות
מאמרים
צור קשר ומדיניות פרטיות
Русский
קביעת תור/ צור קשר
שירותי המרכז
🧬 רפואה אונקולוגית מתקדמת – אלקטרו-ווט
🦷 טיפולי שיניים וחלל הפה – טיפול מקצועי בכאב שקט
🔍 שירותי אנדוסקופיה והדמיה מתקדמים
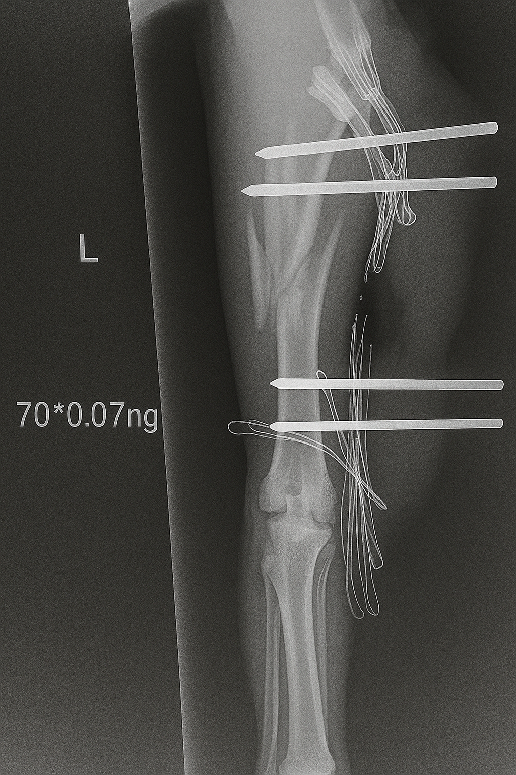
🩺 כירורגיה ואורתופדיה
🛡️ חיסונים וטיפולים מונעים
🧪 בדיקות מעבדה – אבחון מדויק בזמן אמת
רפואה אונקולוגית
טיפולי שיניים ופה
שירותי אנדוסקופיה והדמיה
חיסונים וטיפולים מונעים
כירורגיה ואורטופדיה
בדיקות מעבדה
דרמטולוגיה-עור
דברו איתנו
שם מלא
מספר טלפון
שירות מבוקש
שירות מבוקש*
קביעת תור לבדיקה
קביעת תור לחיסון
קביעת תור לפרוצדורה/ניתוח
קביעת תור לייעוץ עם רופא מומחה
אימייל
הודעה
שליחה
או צרו קשר ברשתות
🐾 יועץ וטרינרי חכם